A 66y old Physician, walked into my OPD and said he's fine and fit but his daughter is insisting that he should see a Cardiologist. He said he feels something weird from him neck to his abdomen after taking a hot bath and after short walks but - "IT IS NOT CARDIAC" he declared.
I had to tread carefully here. He also had OCD on meds. I said yeah you look fine Sir! Let's just get a basic check so that your daughter is satisfied. Advised an ECG Echo TMT. ECG and Echo were normal and on TMT he just walked 2 min and said I'm tired. #MedTwitter #cardiotwitter
He again said I'm fine! Just little tired and kept holding his chest. I said just do a CT Coronary calcium score it's a 5 minutes job. If it is normal I'll send you home right away! #CTCalciumscore was done and showed extensive calcification of all Coronary arteries.
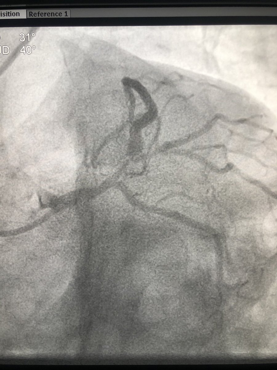
Advised a coronary angiography. He got admitted the next day and angio showed critical left main disease and triple vessel disease. #leftmainCAD
Advised Bypass surgery in view of Diabetes and Calcific Left main + TVD. He wanted a 2nd opinion for which I suggested a couple of places too. He took the second opinion and got readmitted after 2 days. #secondopinion (learnt the art of communication from @serioustaurean largely)
Any elective non-emergency situation, one is entitled for a second opinion. This article covers few aspects. https://www.urmc.rochester.edu/encyclopedia/content.aspx?contenttypeid=1&contentid=2708
He underwent a CABG successfully. Went home after a week with an uneventful recovery. He agreed that he would have probably not agreed if I wasn't systematic and slow in my approach. He had already walked out of another Cardiologist's office after an advice for angiogram!
CABG vs PCI for left main coronary artery disease
You can follow @DrDeepakKrishn1.
Tip: mention @twtextapp on a Twitter thread with the keyword “unroll” to get a link to it.

Latest Threads Unrolled:

By continuing to use the site, you are consenting to the use of cookies as explained in our Cookie Policy to improve your experience.