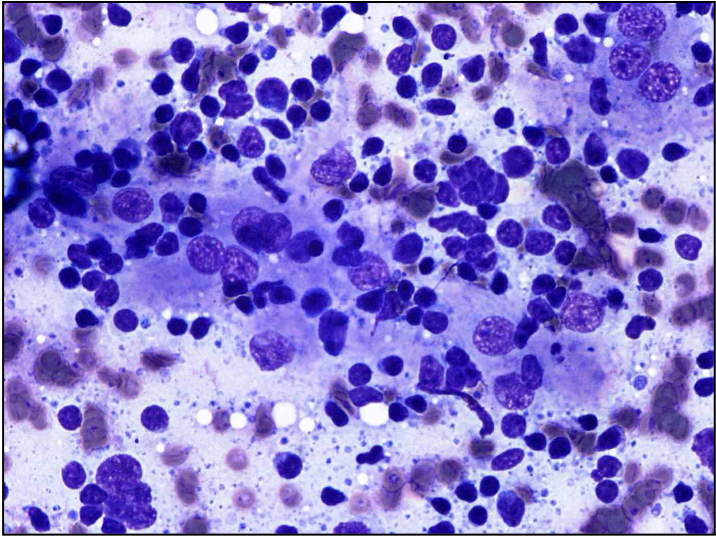
CC45 (3) Time for FDC and Mph. Inside the germinal center FDC will present agns to lymphos. Most won't recognize them and go into apoptosis. Scavenger Mph will recycle them: "tingible body Mph". Both can be seen on smears and they tell us that active GC are present, a good sign.
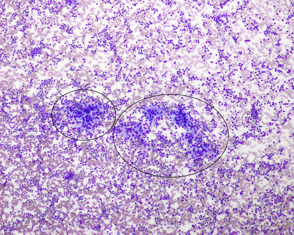
Can we see germinal centers of fragments of GC, as @PhilippeCytoMD cleverly mentioned? YES. You willl see them as ill-defined aggreagates of FDC intermixed with lymphos and Mphs. Don't misinterpret them as granulomas. #pathresidents #cytopath
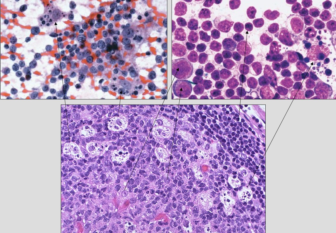
An ill-defined GC fragment showing tingible body Mph (red arrows) and FDC (yellow). We don't see the thousands of cytoplasic processes of FDC but only a big, ill-defined cytoplasm (syncytial). By now you are familar with the lymphoid heterogeneous background
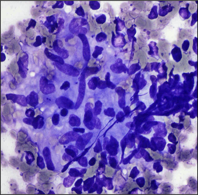
Great image of a fragment of a GC with beautiful FDCs this time unaccompanied of tingible body macrophages (left). The difference between a FDC and a Mph is not clear cut, some can be non-phagocytic macrophages. But this is not a granuloma. The one at the right is a granuloma
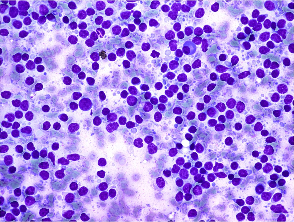
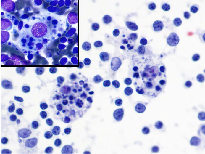
What about tingible body Mph ? Also characteristic of an active GC. They are present, or at least relevant, when follicular hyperplasia is the predominant pattern. If paracortical pattern predominates you will not see them. Correlation with histology, also of centroblasts
From my mentors. Great images of tingible body Mphs. Low grade lymphomas rarely show a relevant number. Don't misinterpret the as Kikuchi Mphs. These are much smaller with crescent-like shape (right). Recognize centroblats and immunoblasts in Kikuchi ?
LN interpretation can be very difficult. I'll show you cases once a week. It's all about common sense. High grade lymph are usually evident. Low grade not so. Grade 2 follicular lymphomas can be challenging. What's your opinion of this image, is it reactive or not? answer below
Is the image heterogeneous with several diffferent cell populations, including GC cells or rather monomorphic with a predominantly single cell population? Take your time. Look for the small lymphocyte to compare
If you are having problems with this one compare it with the first image we analyzed yesterday
You can follow @pepeheffernan.
Tip: mention @twtextapp on a Twitter thread with the keyword “unroll” to get a link to it.

Latest Threads Unrolled:

By continuing to use the site, you are consenting to the use of cookies as explained in our Cookie Policy to improve your experience.