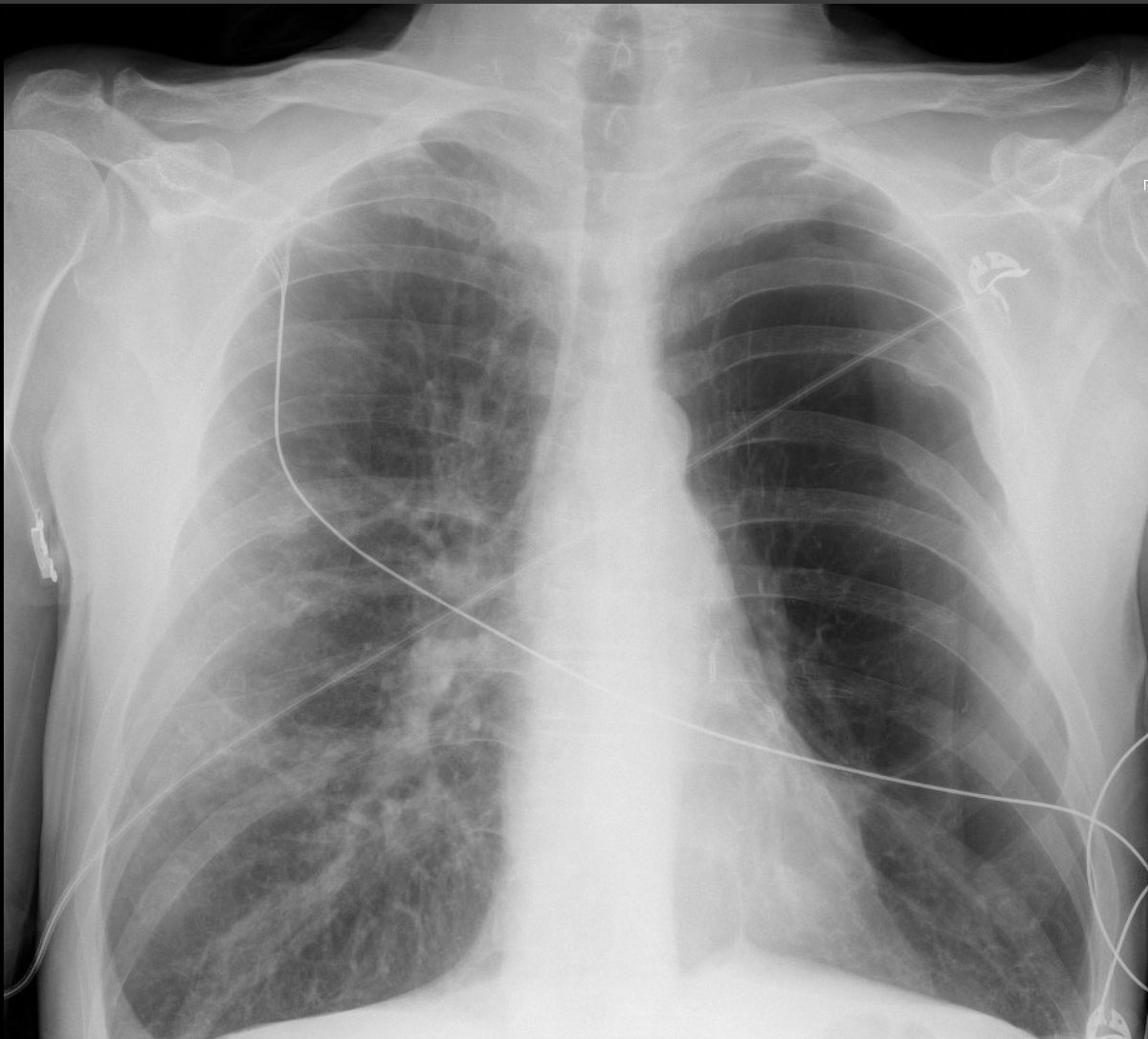
you're managing a new admission who is relatively undifferentiated (presenting with hypotension, hypoxemia, and altered mental status). the radiology tech wheels out of the room and shows you this film. what is your next move? (#1/4)
c'mon, the clock is ticking! what are you going to do? (#2/4)
this is actually a skin fold, not a pneumothorax. there are several hints of this on the chest X-ray, but the safest (most idiot-proof) way to sort it out is lung ultrasonography. lung slide on POCUS at several locations on the left chest confidently & immediately excluded PTX😃
key points:
🫁STAT calls from radiology about "pneumothorax" often turn out to be skin folds
🫁unless the PTX is unequivocal & the patient is crashing (e.g., definite tension PTX), *always* do POCUS before placing a chest tube
🫁for PTX diagnosis, POCUS eats x-ray for lunch
You can follow @PulmCrit.
Tip: mention @twtextapp on a Twitter thread with the keyword “unroll” to get a link to it.

Latest Threads Unrolled:

By continuing to use the site, you are consenting to the use of cookies as explained in our Cookie Policy to improve your experience.