#GIpath Injury Patterns 101

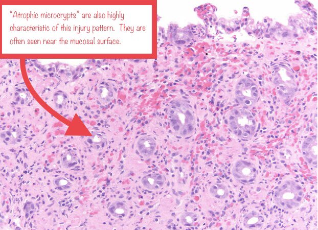
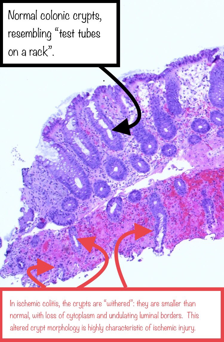
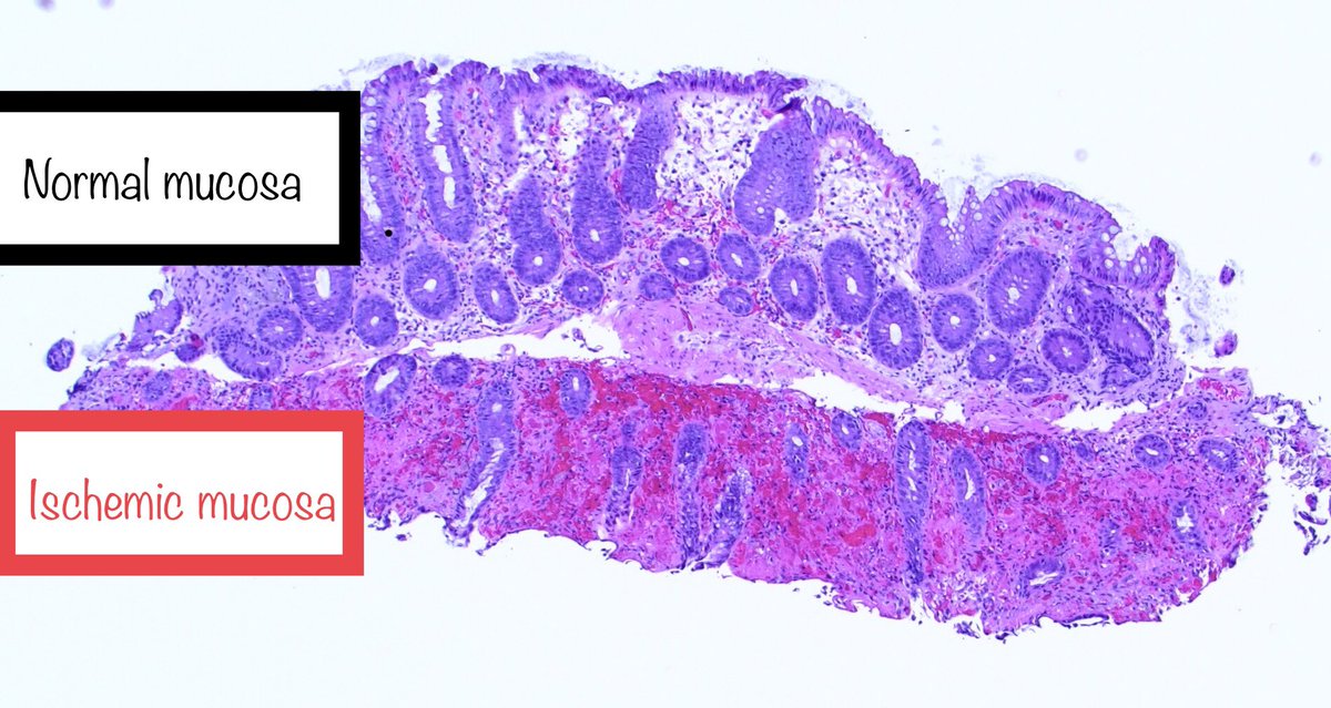
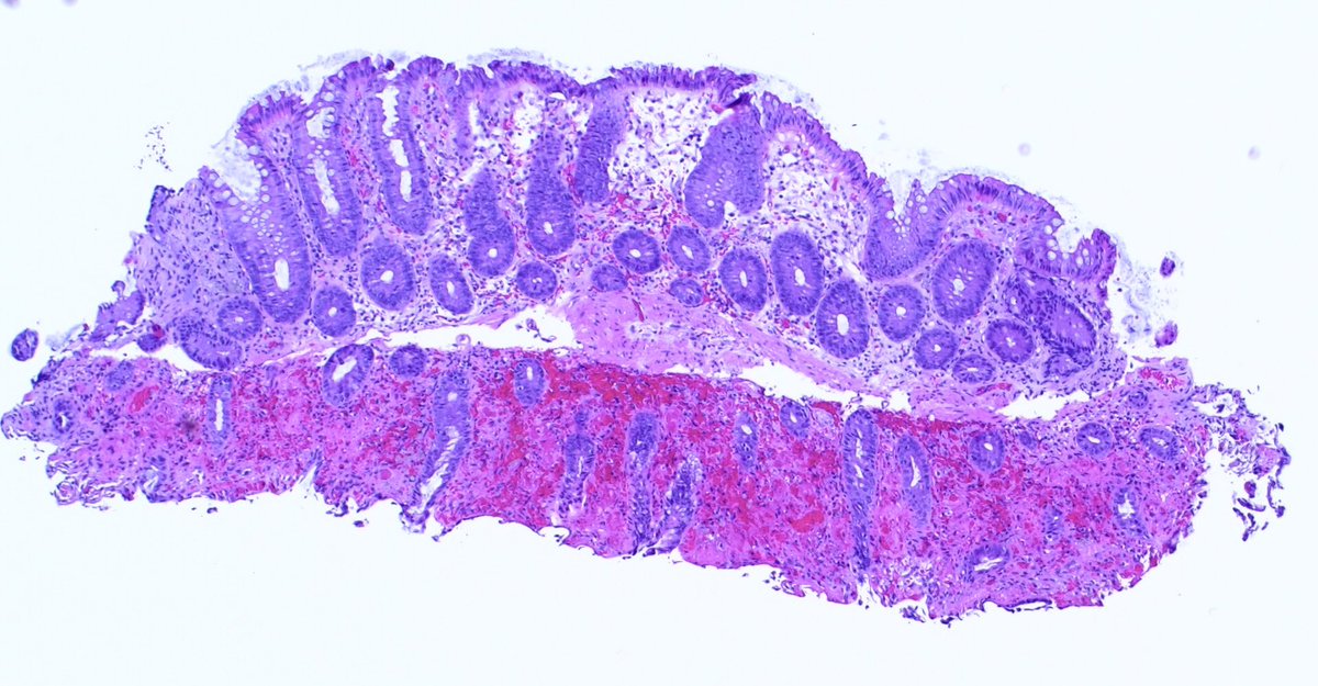
Interesting slide which shows an area of ischemic colitis next to an area of normal colon mucosa.

I thought this was a nice opportunity to show the features of ischemic colitis.

Added some annotations, which may be helpful to those starting out.
Remember that the ischemic injury pattern may be seen in other situations (such as infection and medication injury).

A good pathology report will describe the injury pattern, and give a prioritized differential diagnosis (tailored to the patient’s clinical scenario).

Thanks!
You can follow @Teclis82.
Tip: mention @twtextapp on a Twitter thread with the keyword “unroll” to get a link to it.

Latest Threads Unrolled:

By continuing to use the site, you are consenting to the use of cookies as explained in our Cookie Policy to improve your experience.