Ready for a wild #hemepath #tweetorial? This case blew me away. Lots to unpack, so let's get started:

1/
50-year-old female. No past medical history. Presents with left neck swelling, leukocytosis (~15), thrombocytosis (~600), and elevated LFTs (obstructive picture).
2/
PET/CT showed multiple enlarged lymph nodes concerning for a lymphoproliferative disorder. Among these are multiple mildly enlarged LNs in the porta hepatis and gastrohepatic ligament.
3/
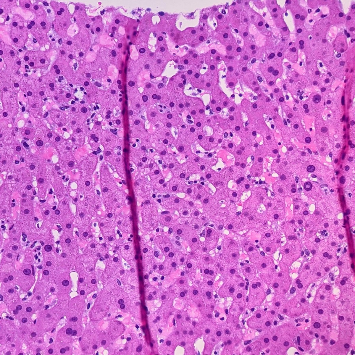
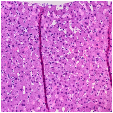
Given the lack of obvious liver involvement, a biopsy of the liver was performed, which showed a sinusoidal infiltrate of lymphocytes.
4/
Without any other information, this pattern may be suggestive of hepatosplenic T-cell lymphoma. What is the typical hepatosplenic T-cell gene rearrangement?
5/
Gamma-delta. Hepatosplenic is usually positive for T-cell markers, CD56, and cytotoxic markers (TIA1, granzyme). But...we have diffuse nodal disease, and a nodal biopsy on the way. Let's be patient.
6/
The peripheral blood flow cytometry is back and only makes things stranger. Note the CD4+ T-cells with aberrant loss of surface CD3 and CD5. The loss of CD3 and CD5 is not characteristic of a particular T-cell neoplasm.
7/
Your nodal T-cell lymphoma spidey sense should be tingling. Briefly, this includes:
- Peripheral T-cell lymphoma
- Angioimmunoblastic T-cell lymphoma
- Adult T-cell leukemia/lymphoma
- Anaplastic large cell lymphoma
8/
While we're waiting, we can recommend a viral serology. If we're thinking adult T-cell lymphoma, what do we order, what should the peripheral blood cells look like?
9/
HTLV-1, flower cell.

Typical boards fodder:
- Endemic to Japan, Caribbean, South America
- Patients present with hypercalcemia
- Infects CD4+ cells

(...also HTLV-3 is HIV)
10/
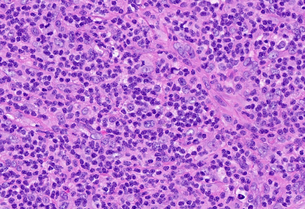
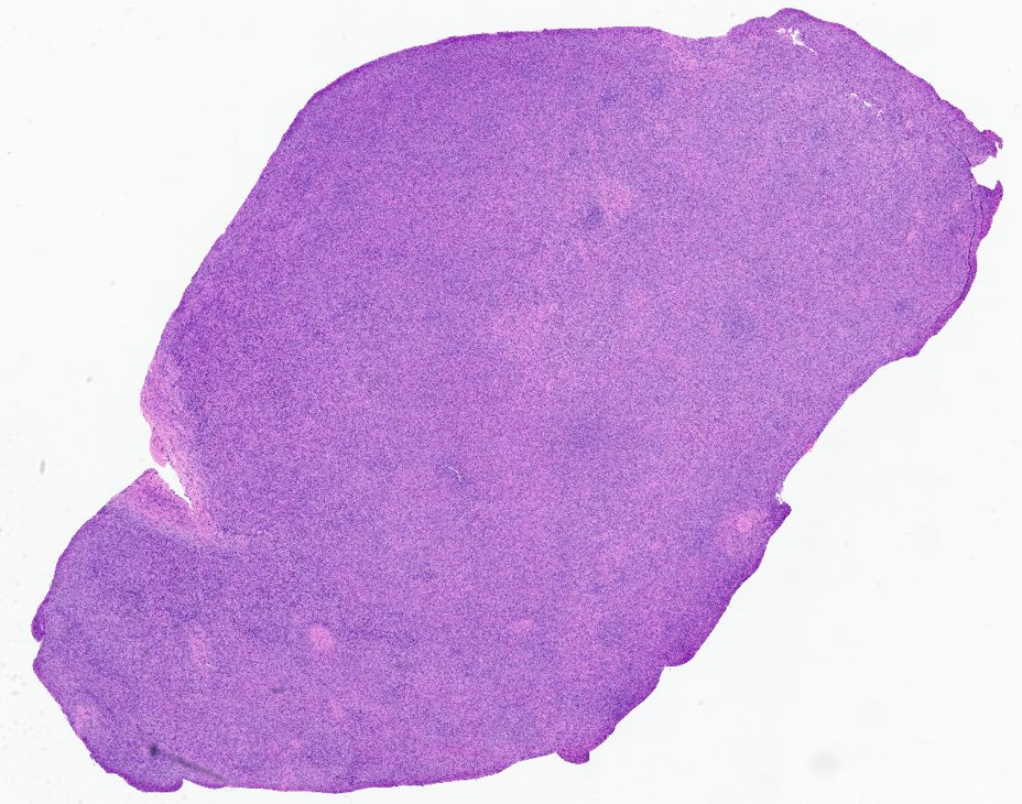
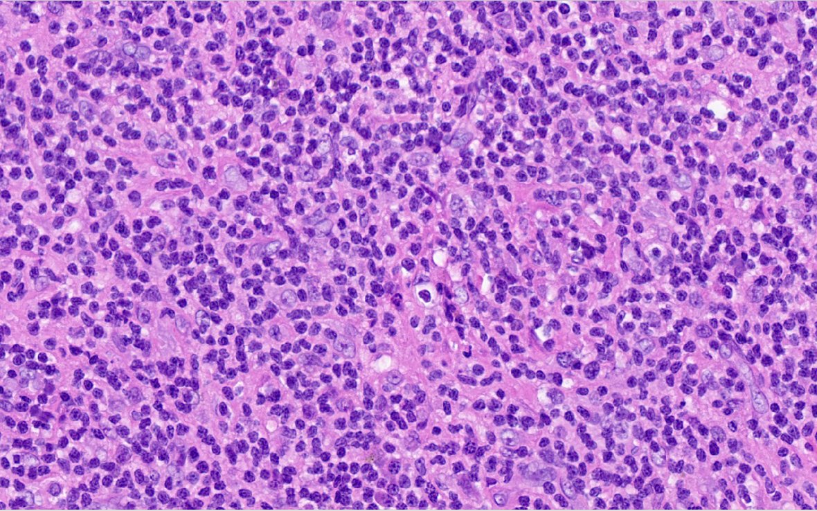
The node has arrived! It's effaced. Few atypical cells, mostly small lymphocytes. Is that a high endothelial venule (HEV)?
11/
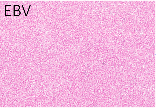
Could this be angioimmunoblastic T-cell lymphoma? The background isn't that 'mixed'...what stain(s) would help confirm the diagnosis, where should they be positive?
12/
EBV-positive in the background B cells and CD21 to help elucidate the follicular dendritic meshwork. Also, this is a follicular T-cell process, are they present?
13/
Everything is negative. Now, just to confirm this is - in fact - a CD4+ T-cell process for those of you doubting we're ever going to get to the bottom of this...
14/
Other positive T-cell markers
15/
Negative CD8, CD10...
16/
Could this be a peripheral T-cell lymphoma? It would be a diagnosis of exclusion given that we don't have classic morphology for ALCL. But what the heck, let's throw on a CD30 and ALK.
17/
CD30!
18/
ALK!
19/
Anyone want to go back to the morphology?
20/
Diagnosis: anaplastic large cell lymphoma, small cell variant, ALK+
21/
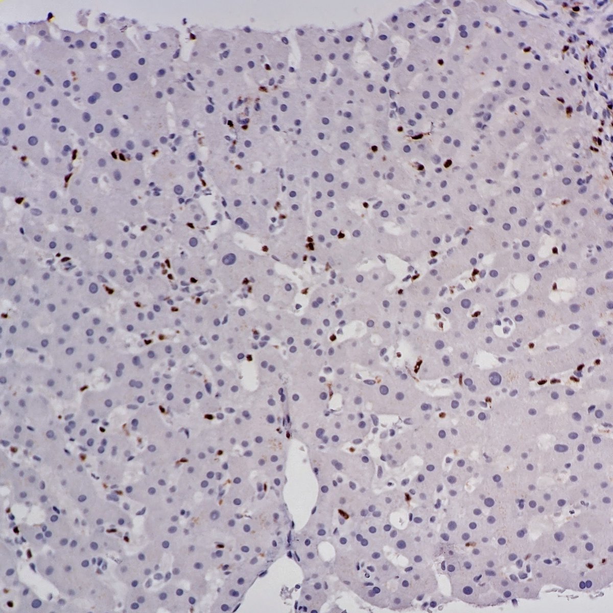
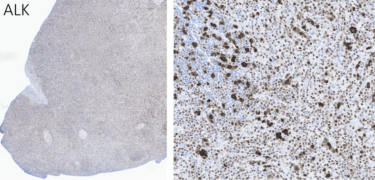
I guess we need to revisit that liver biopsy. What does ALK look like? Oh...oh my.
22/
And the concurrent bone marrow that you just received? The one with sprinkled T-cells but nothing really crazy going on? What does ALK look like there?
23/
Hope you enjoyed this journey through nodal T-cell lymphomas! This one decided to be an overachiever and involve the blood, liver, and bone marrow as well. Crazy case with many learning opportunities.
You can follow @Dr_Brian_Cox.
Tip: mention @twtextapp on a Twitter thread with the keyword “unroll” to get a link to it.

Latest Threads Unrolled:

By continuing to use the site, you are consenting to the use of cookies as explained in our Cookie Policy to improve your experience.