If the exponential increase in #COVID19 numbers is not enough to convince you to wear your mask and stay home, here is a visual representation of what will happen to you in case you got infected, severely sick and we had to admit you to the intensive care unit.
This is a foley catheter. We will have to insert it through your urethra into your bladder so we could accurately measure your urine output, or help you empty your bladder in case we had to put you to sleep.
By now, you probably know that this laryngoscope will be used to advance a breathing tube through your throat and attach you to the ventilator.
This is a central venous catheter, in case you need certain doses or types of medications that cannot be given safely through a peripheral vein. We stick it either in your neck, under your clavicle or your groin.
This is a similar catheter, it has a bigger lumen and we will stick it in one of the above venous sites (whichever is free) in case your kidneys stop working and we need to replace their function with a dialysis machine.
This is a nasogastric tube. It would be inserted through your nose passing through the back of your mouth into your esophagus. We use it to feed you or give you oral medications in case you need them.
This would be inserted in your anus in case you get diarrhea, which is very common if we put you on antibiotics or just by being in a critical unit
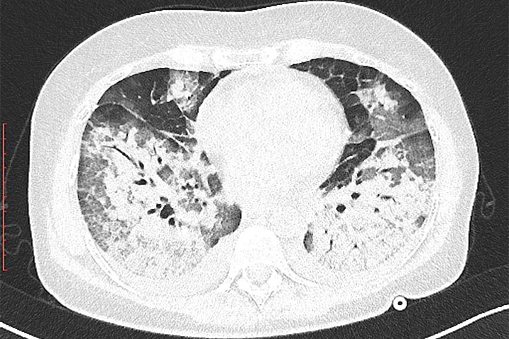
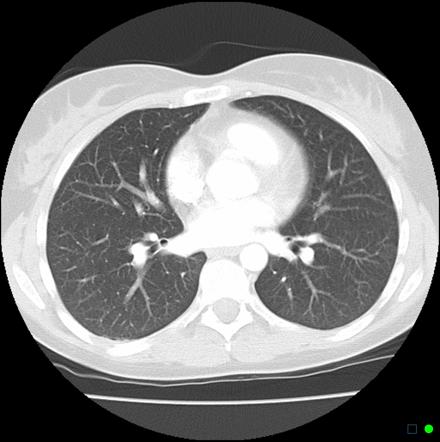
This would be a CT scan of your lungs, as compared to normal ones.
This would be your lung compared to a normal one.
And if you stay sick and in bed long enough, you will probably develop one of these ulcers caused by the pressure of your body against the bed compressing your skin.
You don't have to go through all this.
Wear your mask,
Keep your social distance,
and stay home.

#Covid_19
#Lebanon
You can follow @_bosman_.
Tip: mention @twtextapp on a Twitter thread with the keyword “unroll” to get a link to it.

Latest Threads Unrolled:

By continuing to use the site, you are consenting to the use of cookies as explained in our Cookie Policy to improve your experience.