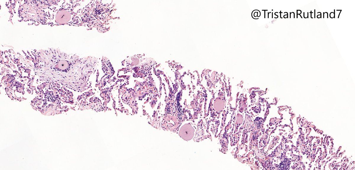
Older patient, lung mass.
@ZHOUSEH @MattieFarzin @smlungpathguy @quadrellis
#pulmpath #liverpoolpath #aussiepath #surgpath #PathTwitter
@ZHOUSEH @MattieFarzin @smlungpathguy @quadrellis
#pulmpath #liverpoolpath #aussiepath #surgpath #PathTwitter
Congo red.
Diagnosis:
Corpora Amylacea on a background of organising pneumonia.
Corpora Amylacea on a background of organising pneumonia.
Learning points:
1) CA can be positive for Congo red! They are actually thought to contain amyloid protein. https://pubmed.ncbi.nlm.nih.gov/1385482/
1) CA can be positive for Congo red! They are actually thought to contain amyloid protein. https://pubmed.ncbi.nlm.nih.gov/1385482/
2) Originally called corpora colloidea they were first described in the prostate back in 1727 by Morgagni (yes that one). After that, they were described in other sites (including Lung). As I love medical history 
https://jamanetwork.com/journals/jama/article-abstract/454066

https://jamanetwork.com/journals/jama/article-abstract/454066
Read on Twitter