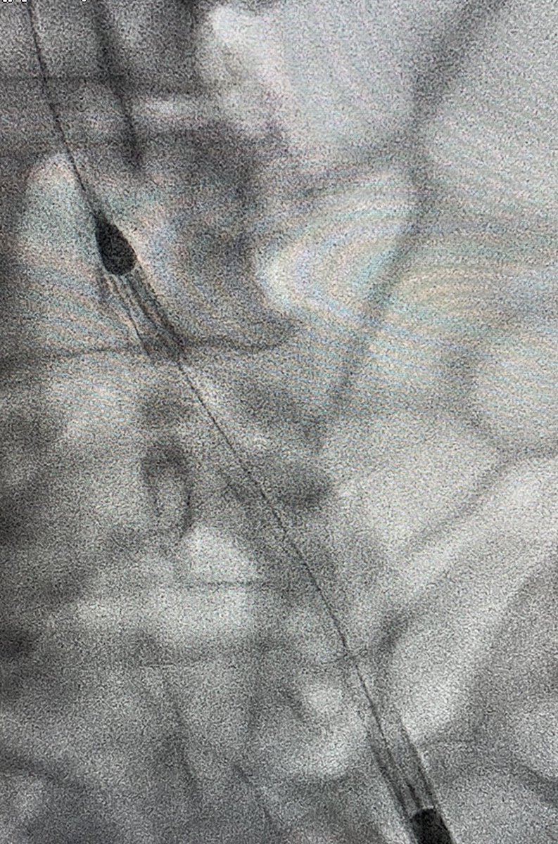
1/7 Vascular Access for Shock-MCS. Do it the same way every time (“slow is smooth, smooth is fast”). Fluoro Femoral Head. US-guided Micropuncture access, observe micro wire advancement, perform access site angiogram (with wire left in), Preclose (single Perclose)...
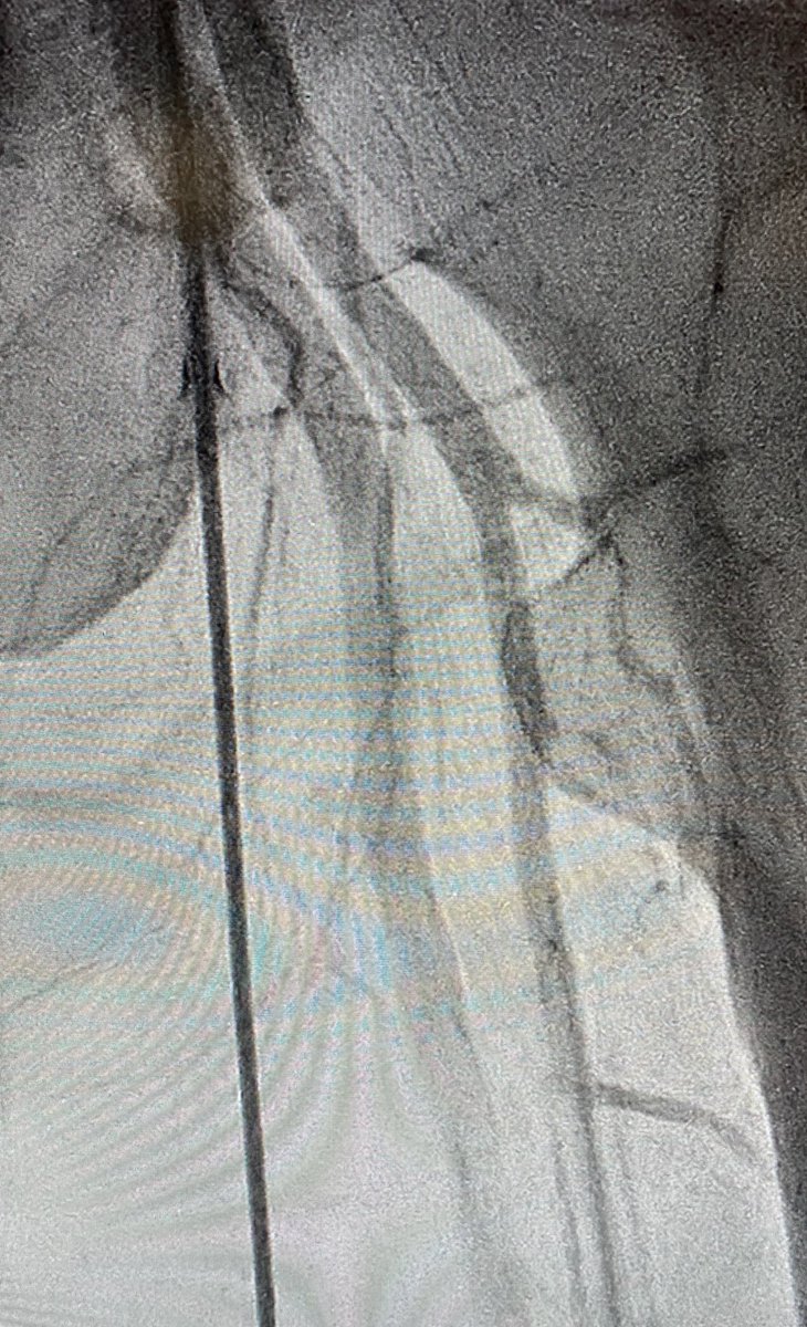
2/7 Aorto-Iliac angiography (with run-off) for complete pre-insertion vascular assessment...
3/7 Impella observed going in. Take a moment to remove slack, achieve stable device position. Always place Swan with Impella in Shock...
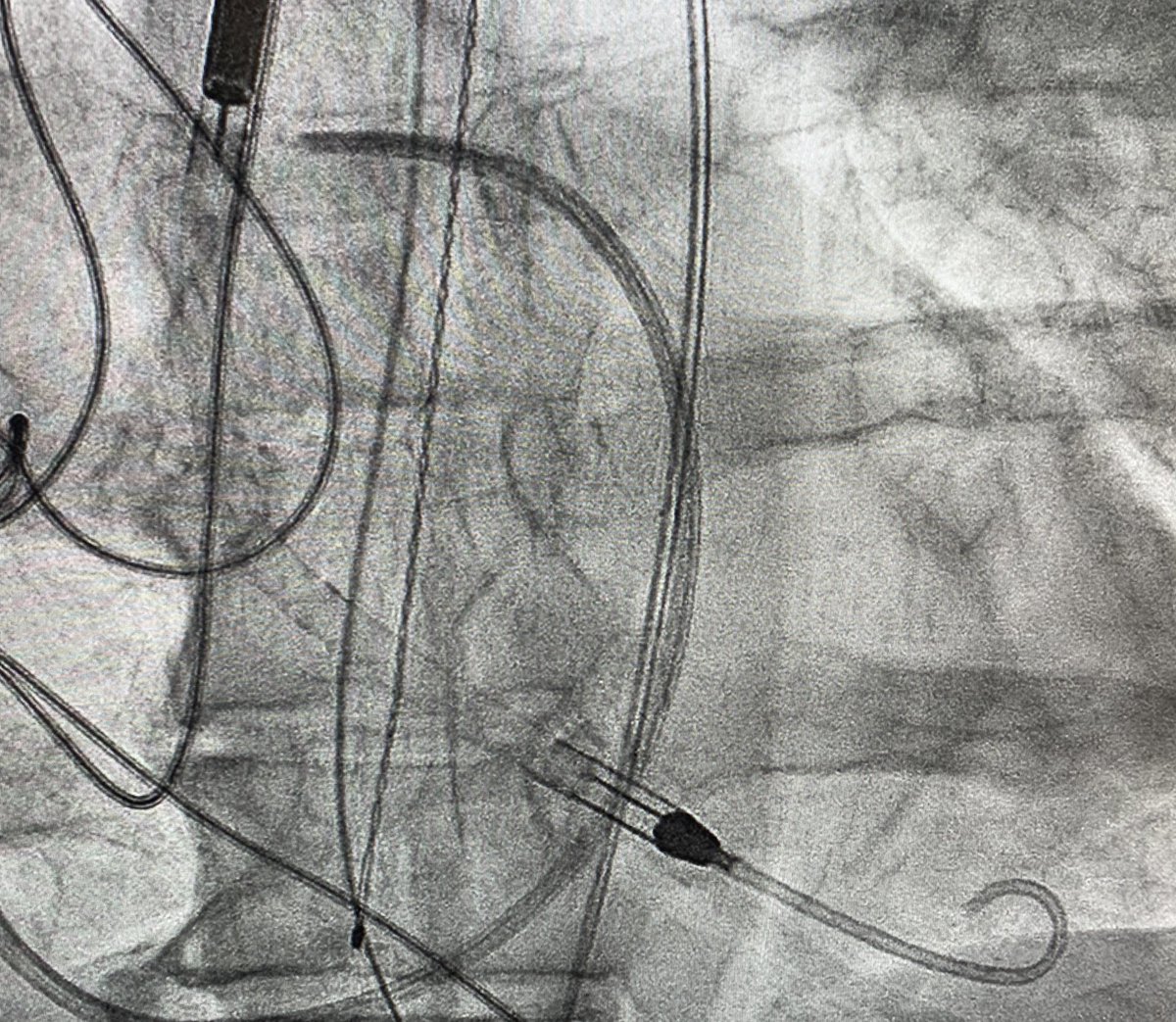
4/7 Quick single-access (a la @jason_wollmuth et al) run-off angiogram at the very end confirming distal flow before removing peel-away sheath (or can perform via Radial access) to assess need for antegrade perfusion catheter...
5/7 Remove peel-away sheath. Cinch Perclose around leave-in sheath. Suture sheath in at appropriate angle (after shallow initial access [cantalever principle a la @J_M_McCabe]) and with sutures placed cranially to preserve forward sheath momentum...
6/7 Place dressings. Reassess Hemodynamics (check response to device: especially effect on RV, need for escalation). Recheck device position/remove slack. Place A-Line. Only then up to CICU....
7/7 Bedside Echo (Impella position, LV/RV function), repeat Hemodynamics once situated in CICU. Face-to-face bedside hand-off with MD/RN etc CICU team. Speak directly to family...
Addendum: Really really great crowd-sourced tips rolling in. Exactly how we all learn from each other and get better together👍... @ziadalinyc @djc795 @perc_surgeon @Ravi_Hira_MD
You can follow @agtruesdell.
Tip: mention @twtextapp on a Twitter thread with the keyword “unroll” to get a link to it.

Latest Threads Unrolled:

By continuing to use the site, you are consenting to the use of cookies as explained in our Cookie Policy to improve your experience.