Happy #SCSSaturday!
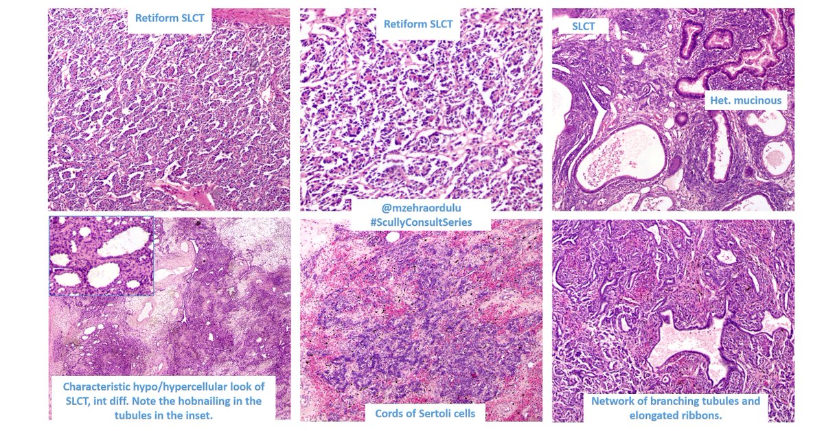
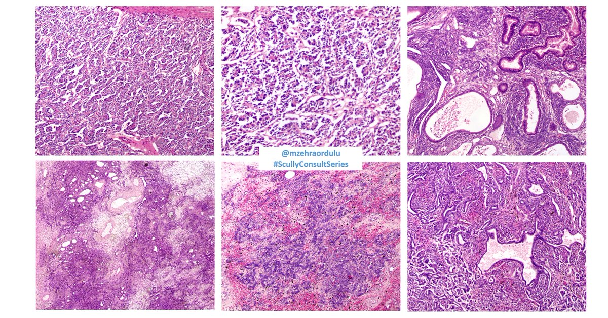
18 yo F, virilizing symptoms and 36 cm right ovarian mass. #ScullyConsultSeries #GynPath #GynPathQuiz #SurgPath #PathTwitter
What is your diagnosis?
RES: This tumor shows most of the patterns of SLCT. It has large het elements in the form of intestinal type glands and large retiform component. Some of the tubular structures are lined by hobnail cells, which we have seen before. #ScullyConsultSeries #GynPath #GynPathQuiz
✴️The "retiform" pattern derives from the resemblance to "rete testis".
✴️SLCT peaks at 25 years, retiform occurs in younger (15 years)
✴️SLCT has androgenic manifestations up to 50%; less common if retiform (25%) #GynPath #GynPathQuiz
Images from: https://pubmed.ncbi.nlm.nih.gov/6660351/ 
You can follow @mzehraordulu.
Tip: mention @twtextapp on a Twitter thread with the keyword “unroll” to get a link to it.

Latest Threads Unrolled:

By continuing to use the site, you are consenting to the use of cookies as explained in our Cookie Policy to improve your experience.